Erstgespräch und Basisabklärungen beim Sterilitätspaar
InhaltsverzeichnisErstgespräch
Anamnese
Siehe Testbaustein im KISIM: Kinderwunsch, insbesondere auf folgendes achten
Seit wann besteht der Kinderwunsch?
Sterilität oder Infertilität?
GV-getimet?
Sterilität = es kann keine Schwangerschaft erreicht werden
Infertilität = Schwangerschaft kann nicht erhalten werden, d.h. wiederkehrende Aborte
Primär = Paar hat noch kein Kind
Sekundär = Paar hat schon ein Kind / Kinder
Vorangegangene Schwangerschaften / Geburten?
Genaue Zyklusanamnese: Länge, Regelmässigkeit, Blutungsdauer, Dysmenorrhö, prämenstruelles Spotting, Dysmenorrhö?
Präkonzeptionelle Empfehlungen
- 400 μg Folsäure täglich
- Überprüfung des Impfstatus gemäss Schweizerischem Impfplan
- Beratung zu Lifestyle-Faktoren (Fitness, Stress, Ernährung, Schlaf etc.)
- Beratung zum Körpergewicht
- Nikotinstopp
- Information über optimalen Konzeptionszeitpunkt
Ev. Untersuchung
- TVUS:
- Beurteilung Anatomie (Uterusanomalien, Adenoyose, Myome, Zysten, Polyp, Saktosalpinx), ggf. 3D-Ultraschall
- antraler Follikelcount (AFC)- Norm: 5-20 pro Seite (Eshre Guideline)
- Spek: Chlamydienabstrich
Besprechung der Basisabklärungen des Paares
Abgabe Plan für die Basisabklärungen
Basisabklärung Frau
Frühzyklischer Blutentnahme, ggf. mit Ultraschall
3.-5. Zyklustag
- Blutentnahme:
- Standardhormonstatus (KISIM) mit AMH, Rubella- und Varizellenserologien
- Infektoserologien vor IVF/ICSI, Kryokonservierung, IUI (Mann): Hepatitis B und C, HIV, Lues-Serologien
- Chlamydia trachomatis: Abstrich aus Vagina, Zervix und Urethra oder Uri
- TVUS:
- Beurteilung Anatomie (Uterusanomalien, Myome, Zysten, Polyp, Saktosalpinx), ggf. möglich 3D-Ultraschall
- antraler Follikelcount (AFC)- Norm: 5-20 pro Seite (Eshre Guideline)
- Bei Amenorrhö ist die Blutentnahme zyklusunabhägnig möglich.
Falls eine Oligomenorrhö vorliegt mit sehr langen Zyklen (z.B. bei PCOS) kann die Menstruation mit Duphaston 1-0-1 für 10 Tage ausgelöst werden, sofern das Endometrium >7mm ist.

Unauffällige oviarielle Reserve, AFC 8

Reduzierte ovarielle Reserve, AFC 2

AFC erhöht bei PCOS, ACF > 15
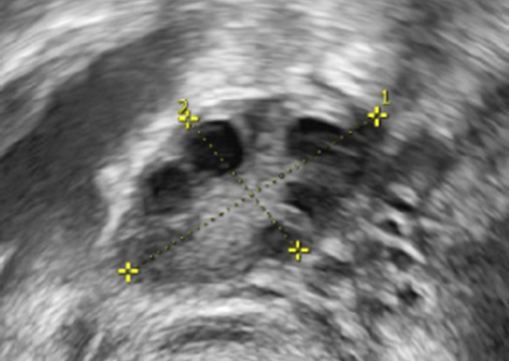
Präovulatorischer Ultraschall - Index
- TVUS zwei Tage vor erwarteter Ovulation
- Faustregel: Zykluslänge -16Tage
- Endometrium: trilaminar? Dicke?
- Follikel? Grösse
- Hormonanalyse bei typischem Ultraschallbild (=trilaminare Endometrium >7mm und Follikel > 16mm) nicht nötig
- nicht zwingend notwendig bei sicher regelmässigem Menstruationszyklus

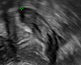
Trilaminares Endometrium

Dominater Follikel
Lutealphaseabklärung
Lutealphaseninsuffizienz kann auch mit genauer Anamnese diagnostiziert werden
- Lutealphase <12 Tage
- Prämenstruelles Spotting
Progesteronbestimmung 20.-22. Zyklustag bzw. 7-9 Tage nach dem Eisprung
- Werte >10 ng/ml sprechen für eine vollwertige Lutealphase und beweisen die stattgehabte Ovualtion.
- ein Cut-Off Wert des Progesterons ist für eine Lutealphase umstritten ist und
vor allem die Klinik ist mitentscheidend
Tubendurchgängigkeitsprüfung
7.-12. Zyklustag
- Hystero-Kontrastmittel- Sonographie (HyCoSy)

Unauffällige Darstellung der Tuben
ggf. diagnost. Hysteroskopie, Laparoskopie und Chromopertubation bei
- St.n. Baucheingriffen (z.B. Appendektomie / Verdacht auf Adhäsionen)
- St.n. Adnexitis
- Hinweise für Endometriose (Dyspareunie, Dysmenorrhoe): bei komplexen Fällen ggf. interdiziplinäre Besprechung bzgl. Vorgehensweise mit operativem Team
- St.n. EUG
- bei eingeschränkter Beurteilbarkeit der Kontrastmittel-Sonographie (HyCoSy)
Basisabklärung Mann
Anamnese
• Allgemeine Anamnese: nach Kinderwunschstandard (siehe Dokument)
• Name, Vorname, Geburtsdatum
• Allgemeine Erkrankungen
• Operationen, Medikamente
• Noxen (Nikotin, Alkohol, Drogen)
• Hodenproblematik (Operationen, Entzündungen, Kryptorchismus)
• urologisches Problem (Erektions- oder Ejakulationsprobleme)
• Kinder aus anderen Partnerschaften
• Mumps, Pertussis
Spermiogramm
- Auftragsformular Spermiogramm: Basisspermiogramm
- Abgabe unangemeldet Di, Mi, Do 07:30-09:00h
- Becher und Formulare mitgeben (macht Pflege)
- Kontrollspermiogramm: 3 Monate abwarten
Andrologische Abklärung
- bei eingeschränktem Spermiogramm / Potenzsstörung: Andrologische Sprechstunde, Klinik für Urologie anmelden
Autorenschaft: K. Schiessl
Überarbeitet: K. Camastral
KSW Version: 4.0, 12/205